Prettau Zirconia Implant Bridge: Robert

Prettau Zirconia Implant Bridge: Robert - Before Prettau
Before Prettau
Prettau Zirconia Implant Bridge: Robert - After Prettau
After Prettau
Prettau Zirconia Implant Bridge: Robert - Before Prettau Zirconia
Before Prettau Zirconia
Prettau Zirconia Implant Bridge: Robert - After Prettau Zirconia
After Prettau Zirconia
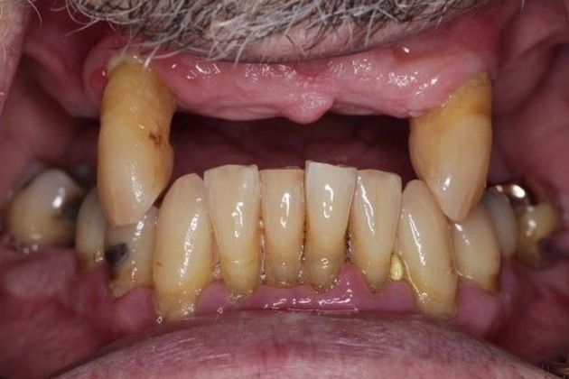
Prettau Zirconia Implant Bridge: Robert - Failing Teeth
Failing Teeth
Prettau Zirconia Implant Bridge: Robert - Solid Prettau Bridge
Solid Prettau Bridge

Contact Us

Fields With Are Required
You can also call us at (718) 705-4434. This site is protected by reCAPTCHA and the Google Privacy Policy and Terms of Service apply.
logo and practice name

Our family-run practice, led by Dr. Alex Hecht  and Dr. Jason Hecht , is guided by compassionate and genuine care for our patients. Several distinctions set us apart:

  • Creating beautiful smiles since 1978
  • One of the largest practices in the region
  • Excellence in treating even the most complex cases
  • Advanced cone beam computed tomography (CT) scanner
  • Dedication to continuing education
  • Incorporation of the latest techniques

To set up a consultation or learn more about our services, reach out to our office online  or call (718) 690-3226 .

Rate, Review & Explore

Social Accounts Sprite