Cosmetic Dentistry
Seeing old friends, chatting with coworkers, and smiling for pictures may cause you unnecessary stress if you are unhappy with your teeth.
Drs. Alex and Jason Hecht can correct your dental flaws and help you feel confident in your smile with customized cosmetic dentistry.
Find out how easy cosmetic dental care can be at our Staten Island, NY, practice during a free consultation.
What Makes Cosmetic Dentistry Special?
While general dentistry and restorative dentistry focus on the health of your smile, cosmetic treatment combines the art and science of dentistry to maximize aesthetic beauty.
Our cosmetic dentists can transform your smile with a variety of treatments. They can turn back the clock on dental stains with teeth whitening, straighten your teeth with Invisalign®, or replace missing teeth with dental implants. No matter which procedure you choose, you can expect results that make your smile look incredible and take your confidence to exciting new heights.
Make Your Dream Smile a Reality Request a Free Consultation Today
Many people go through life feeling less than satisfied with their smile. This doesn't have to be the case! Dr. Alex Hecht and his son, Dr. Jason Hecht, have helped many patients achieve the smiles they've always wanted through cosmetic dentistry. No case is too simple or complex for our team. To find out how cosmetic treatment can enhance your appearance and boost your confidence, request a free consultation by contacting us online or calling us:
(718) 705-4434

Take It From Our Patients: "They were AMAZING."
The only regret I have is not making an appointment with this office sooner! They were AMAZING. I have felt insecure about my front tooth for years and they completely fixed it for me. HIGHLY RECOMMEND
View on GoogleDr Hecht and staff provide a warm hospitable family environment . They're very knowledgeable about their profession. They also display professionalism while providing the best quality care.
View on GoogleAddressing Common Dental Flaws
Most of our patients know which aspects of their smile they want fixed but are unsure about the best procedure. Take a look at the treatments we recommend for common dental concerns at our Staten Island practice:
| Popular Cosmetic Treatments | Surface Stains | Deep Stains | Minor Misalignment | Cosmetic Damage | Structural Damage |
|---|---|---|---|---|---|
| Teeth Whitening | ✔ | ||||
| Dental Bonding | ✔ | ✔ | ✔ | ✔ | |
| Porcelain Veneers | ✔ | ✔ | ✔ | ✔ | |
| Dental Crowns | ✔ | ✔ | ✔ | ✔ | ✔ |
| Smile Makeover | ✔ | ✔ | ✔ | ✔ | ✔ |
Dentistry Made for You
We offer sedation to improve your comfort if you have a dental phobia or high sensitivity level.
"I've finally found my forever dentist."
"I have been a patient here for many years. I have never doubted in there skills and abilities. Every dental concern I have had has been dealt with with professionalism and the utmost care. I would not think about going to another doctor. Ive finally found my forever dentist." Peter M., 5-Star Google Review
Look and Feel Your Best Request a Free Consultation
We’d love to help make your dream smile a reality. Our dentists are committed to providing results that you’ll love, and we do this by personalizing each and every treatment. Let’s get to work on your goals. Send us a message or call us on Staten Island, NY.
Our Featured Cosmetic Services
Porcelain Veneers
Porcelain veneers are one of the most popular and versatile treatment options found at our Staten Island practice. A veneer is a thin porcelain shell bonded to the front surface of a tooth to mask a wide range of issues like cracks, chips, and discoloration.
Our cosmetic dentists carefully design your porcelain veneers to mimic the shape and color of your natural teeth. In many cases, they match so well that even our patients can't tell the difference between their real and veneer-treated teeth.

Teeth Whitening
Is tooth discoloration distracting from the overall appearance of your smile? Then consider professional teeth whitening to quickly and effectively brighten your enamel. Our Staten Island cosmetic dentists offer several easy options using proven systems like Zoom!®, Rembrandt®, and Kör Whitening.
Depending on your needs and goals, you can undergo treatment in the office or take home a custom-made kit to whiten at your convenience. Both options provide noticeable results, brightening the enamel by several shades without damaging your teeth.

Invisalign
If you are looking to straighten crooked teeth without bulky metal braces, Invisalign might be right for you. Invisalign is a revolutionary orthodontic system designed to gradually shift the teeth into proper alignment.
Our dentists provide you with a custom-made set of clear aligners to be worn for about two weeks each until the series is complete. When you finish your treatment, you will not only enjoy a more attractive smile but also better oral health, as straight teeth are easier to clean!

Dental Bonding
If your smile is affected by chips, cracks, or other minor damage, dental bonding can be a great low-risk solution. Bonding is a tooth-colored composite resin applied directly to the tooth to mask cosmetic imperfections. Unlike veneers, bonding is temporary and does not require alterations to your tooth structure. While the tooth-colored resin may not be as durable as porcelain, the procedure is a highly affordable option.
Our dentists may recommend bonding as a way to try out cosmetic dentistry to see if the results are something you want to later replicate with a permanent option.

Dental Implants
Dental implants offer patients with missing teeth the ultimate combination of cosmetic and restorative benefits. Implants are placed within the jaw, replacing the underlying tooth root and providing the stimulation needed to preserve your gums and bone density. Once the implant heals, we connect a custom-made crown, bridge, or denture, filling the gap in your smile with a lifelike prosthetic.
Best of all, dental implants ensure your prosthetic teeth remain securely fixed in place. Unlike removable dentures that are prone to slipping around the gumline, your implant-supported restoration will feel just like your natural teeth.

A Great Reputation on Staten Island "They were highly recommended and I can see why."
I walked in with a mess of a mouth... The bottom line, I no longer have to hide my smile or hide behind a surgical mask. If you have doubts, don't! Run to Dr Hechts' office as it was one of the best investments, I have ever made for myself! Thank you to both Dr Hechts and your wonderful staff!
View on GoogleI Had Implants Done There. Everyone Was So Professional And Everything Is Done On The Premises. They Were Highley Recommended And I Can See Why.
View on GoogleHealthy Teeth Are the Foundation Stunning Teeth Are the Goal
Dentistry is about more than just oral health. The goal of our dental care is to give you a strong, radiant smile that enhances your quality of life. A beautiful smile can be an asset personally and professionally, improving your confidence and helping you make a good impression on others. Once you have a healthy foundation, cosmetic dentistry can take you to the next step.
Dr. Alex Hecht and Dr. Jason Hecht offer a wide range of personalized treatments to correct aesthetic dental issues while maintaining a natural-looking appearance. Start your journey today by requesting a free consultation with our dentists. Contact our Staten Island, NY, practice online or by calling:
(718) 705-4434

Comprehensive Transformation With Smile Makeovers
If you can't find a single procedure that offers the dramatic results you are looking for, consider a smile makeover. A smile makeover combines multiple techniques found in cosmetic and restorative dentistry into one streamlined treatment plan.
You'll begin with a free consultation at our Staten Island practice to talk to the dentist about your ideal smile. From there, we choose various procedures in order to reach your unique goals. Our dentists will be happy to show you different possibilities with digital mockups until you find the right treatment combination.
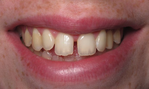
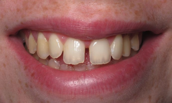
Take a Look at the Incredible Results
Making Cosmetic Treatment Affordable
Discounts on Multiple Procedures
If you choose to combine multiple cosmetic treatments for even more stunning results, you can receive a discount on the total cost of your care.
Third-Party Financing
We work with several lenders that can provide loans of up to $50,000 for your treatment. Based on your credit history, you may qualify for an even greater amount.
In-Office Financing
We offer our own in-house financing plan as well. Based on prior credit approval, we can provide interest-free financing over a three-month term.
We're Grateful to Our Patients For Their Glowing Reviews
I'm very happy I went years without having teeth or teeth falling out, wearing flippers, couldn't eat or close my mouth all the way. My dimples when I smile came back and I feel like a person again. The staff has been wonderful. I mean this sincerely
View on GoogleAfter having lunch with my friend, my front teeth fell out leaving me with no choice but to finally address my issues.. I finally have confidence in whatever I want to eat without fear. I would recommend Dr Hecht and staff to everyone
View on Google







