Dental Implants
Missing teeth are a never-ending hardship, robbing you of simple pleasures and endangering your oral health.
Dental implants offer the most lifelike replacement for lost teeth, restoring function, stability, and health – even in extreme cases. Staten Island Aesthetic & Implant Dentist in Staten Island, NY, pairs state-of-the-art technology with a human touch for top-tier results.
Rediscover Your Smile Call for a Free Full Mouth Dental Implants Consultation
The support and strength that dental implants provide simply cannot be matched by other dental restorations. But implant dentistry is a highly technique-sensitive field in dentistry and requires a masterful understanding of implant planning, technology, and implant materials.
Dr. Alex Hecht at Staten Island Aesthetic & Implant Dentist has been placing and restoring dental implants for well over three decades and offers complete treatment under the same roof. Our dentists also have a thorough understanding of a wide range of implant options, from implant crowns to full mouth dental implants, which allows them to provide the right treatment for your needs. In addition to traditional implants, we also offer All-on-4® implants and Teeth Tomorrow®.
Whether you are missing one tooth or many, request a free dental consultation to discover if dental implants are right for you.
(718) 705-4434

Here's What Our Staten Island, NY, Dental Implant Patients Have to Say
They did an excellent job replacing my tooth, and the staff is super friendly and helpful, would 10/10 recommend this dentist office
View on GoogleCould not find a better bunch of people or doctors
View on GoogleWe Perform Every Stage of Treatment With No Need for Referrals
Placing and restoring dental implants is a highly technical process requiring several types of expertise. Many practices have to refer patients to other specialists for steps such as implant placement, restoring the implant with a crown, bridge, or denture, or placing a bone graft. Staten Island Aesthetic & Implant Dentist is different. Because our dentists are certified in dental implants and have trained with leading experts in clinics around the world, they can handle every stage of treatment, from planning to the final restoration, in one location. This is important for a few reasons:
- When one practice handles every step of your treatment, your dentist's vision is realized through first-hand care for a greater likelihood of an excellent outcome.
- You won't have to worry about finding your way to multiple offices. Each time you're ready for the next phase of treatment, it will happen at the same convenient location.
- This capability can save you money. Involving multiple specialists can inflate your total treatment cost, but receiving all necessary treatment under one roof can keep your treatment as economical as possible.

What Is a Dental Implant?
A dental implant is a small post usually made from titanium surgically inserted into the jawbone. The titanium fuses to the jaw to act as your natural tooth roots would. Once the post fuses with the bone, it acts as an artificial tooth root. Titanium is biocompatible, meaning the body won't reject the material.
Dental implants are the only tooth restoration technique that replaces a lost tooth root. This provides unmatched stability for replacement teeth and encourages new bone growth to keep your jaw strong.
Implants Offer Versatile Solutions For Missing Teeth
Single Tooth
For patients missing a single tooth, implant-supported crowns offer a healthy and secure alternative to traditional dental bridges.
Row of Teeth
Two implants can support a dental bridge without having to alter nearby natural teeth. A traditional bridge requires alteration of healthy nearby teeth.
Full Tooth Loss
Full mouth dental implants can replace complete arches of teeth in your upper or lower jaw and erase concerns about slipping traditional dentures.
Convenient, Effective Tooth Replacement Call for a Free Consultation
While most dentists in the area refer patients to oral surgeons for the surgical stage of the dental implant procedure, Dr. Alex Hecht and his son Dr. Jason Hecht have advanced training in both the surgical and restorative phases of implant dentistry.
Our office also features state-of-the-art diagnostic systems, including a CT scan machine that allows us to capture detailed 3-D images of your smile, including your jawbone. This helps us determine whether you are a suitable candidate for dental implants and pinpoints prime locations for the implants so we can achieve superior results.
If you are looking for a long-lasting, reliable solution to your missing teeth, request a dental consultation today at Staten Island Aesthetic & Implant Dentist here in Staten Island.
(718) 705-4434
Serving Staten Island, New York,
for More than 35 Years
More Five-Star Reviews From Staten, Island, NY, Patients
Love my new teeth! Everyone from Dr.'s to entire staff was great. Especially Jackie. She always calls to see how your feeling after big procedures and always very accommodating to any needs or concerns you have. I highly recommend Dr. Hecht if your considering implants! You definitely won't be disappointed!
View on GoogleThe only regret I have is not making an appointment with this office sooner! They were AMAZING. I have felt insecure about my front tooth for years and they completely fixed it for me. HIGHLY RECOMMEND
View on GoogleExcellent Results through Modern Dentistry
Dental Implant Treatment What to Expect
When compared to keeping bad teeth and paying repeatedly for temporary solutions, the cost of implants may be more affordable in the long run.
Ready to Take the Next Step?
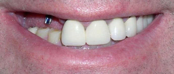
Stunning Before and After Transformations See What Full Mouth Dental Implants Can Do
Full mouth dental implants help fill the gaps in your smile that can result in more significant problems for your oral health if they are neglected. See the change dental implants made in this patient's smile:
"Excellent." More 5-Star Reviews From Our Staten Island, NY, Patients
Promptly took me in right away and the attention was very pleasantly surprising. Was very satisfied how they handled my situation and took care of my implant process immediately
View on Googlestaff is friendly, care and are competent. rarely a long wait. services provided are excellent.
View on GoogleStill Have Questions? Join Our Implants Seminar
Is Cost an Obstacle?
If you are concerned about the cost of dental implants, let us know. We can discuss financing and create a plan that fits into your budget during your consultation. Customized financing plans are available to our patients based on their budgets and needs. These plans can help you break the cost of implants into manageable monthly payments. Get an estimated cost of treatment during your free consultation. Call to request an appointment at:
(718) 705-4434
Hear From Our Dental Patients 5-Star Reviews of Our Staten Island Practice
I Had Implants Done There. Everyone Was So Professional And Everything Is Done On The Premises. They Were Highley Recommended And I Can See Why.
View on GoogleI am completely happy with Dr. Hecht and his entire team. I had extensive work done (multiple extractions, 5 implants and 6 crowns) that started in February of this year and completed yesterday. Every visit was punctual, professional and courteous!
View on GoogleAnswers to Frequently Asked Questions About Dental Implants

How Much Are Dental Implants?
At our Staten Island practice, replacing a single lost tooth with an implant-supported crown can cost from $2,000 to $5,000 depending on the materials used to make the restoration and other factors. More involved treatments, like full mouth dental implants, will be more expensive. We can provide you with an estimated cost of treatment during a free consultation.

Does Dental Insurance Cover Dental Implants?
It depends on the plan and provider. Many providers consider implants an elective treatment and will not contribute to the cost of dental implants, but will cover at least part of the cost of restoration and some preparatory work. We accept many insurance plans and can communicate directly with your provider to help you claim maximum coverage.

How Long Do Dental Implants Last?
With proper care, your implants could last 40 years or longer. By choosing a reputable provider, brushing twice a day and flossing at least once daily, and undergoing six-month checkups, you can experience the maximum benefits of this treatment.

Does Getting Dental Implants Hurt?
Thanks to local anesthesia, sophisticated techniques, and optional sedation, you can expect that your dental implant placement will be virtually painless. You can expect some swelling and discomfort during the first several days of recovery that can be easily controlled with meds and cold compresses.

What Are Implants Made Of?
Our Staten Island practice provides implants made of titanium. Its unique ability to bond with bone tissue allows it to provide exceptional stability to crowns, bridges, and dentures.
"Getting my implants was one of the best decisions
I’ve made in my life."
I needed a full mouth restoration and it was a process but I can not speak highly enough of the skill in which Dr Hecht and his team have and how they guided me through an intense surgery and a brand new smile, literally a brand new lease on life! Highly recommended
View on GoogleI am ecstatic with the way my cleanings and how much better my nutrition health is.Everything I have experienced has been life changing for me. Getting my implants was one of the best decisions I’ve made in my life.Carolyn.S
View On Google




